русский корабльнахуй
 
Україна  27 лютого 2026 20:09 

У Львові чоловік майже відтяв частину руки бензопилою: лікарям вдалося його врятувати

підтримай автора: оригінал
25
961
0
Фото з відкритих джерел
Завершили втручання аутодермопластикою – дефект закрили власною шкірою пацієнта.
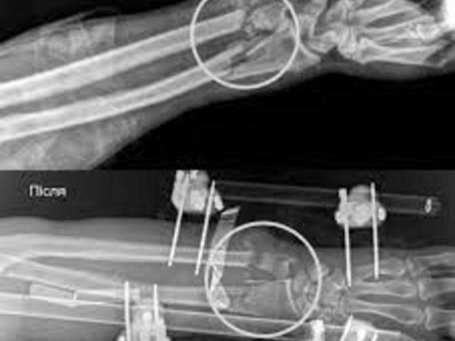
У Львові лікарі змогли зберегти руку 37-річному мешканцю області, який під час заготівлі дров майже повністю відтяв собі ліве передпліччя бензопилою. Історію чоловіка розповіли у Першому медичному об'єднанні Львова. Про це пише Медіа агентство АСС з посиланням на УП Життя.
Нещасний випадок стався миттєво – бензопила вислизнула з рук чоловіка і майже повністю перерізала його ліве передпліччя.
Дружина постраждалого наклала імпровізований джгут і викликала швидку. Чоловіка терміново доправили до лікарні та одразу повезли в операційну.
Травма була критичною: рука фактично трималася лише на шкірі. В чоловіка були повністю пересічені артерії, пошкоджені кістки, м'язи, сухожилля та нерви. За порятунок кінцівки взялася мультидисциплінарна команда медиків.
Спершу ортопеди-травматологи стабілізували переломи за допомогою апарата зовнішньої фіксації. Далі судинні хірурги відновили кровопостачання, зшивши пошкоджені судини – саме цей етап був вирішальним, адже без циркуляції крові тканини швидко змертвіли б.
«Складність оперативного втручання полягала у відновленні всіх структур і, по суті, самої функції руки. Без відновлення кровопостачання рука була б нежиттєздатною і довелося б виконувати ампутацію. Лише злагоджена поетапна робота мультидисциплінарної команди дала шанс її зберегти», – пояснює завідувач відділення судинної хірургії Андрій Мелень.
На третьому етапі хірурги відновили м'які тканини: ушили м'язи та сухожилля, щоб повернути згинально-розгинальні функції. Пошкоджені нерви підготували до наступної операції, яку планують провести за один-два місяці.
Завершили втручання аутодермопластикою – дефект закрили власною шкірою пацієнта.
Наразі чоловік проходить тривалу реабілітацію. Шкірний трансплантат прижився, поступово відновлюється рух пальців. Медики кажуть, що завдяки складній операції вдалося не лише уникнути ампутації, а й дати пацієнтові шанс на повне відновлення функцій руки.